中文 | English
English
PHAPI2 Recombinant Rabbit mAb
货号: RMA01969
PHAPI2 Recombinant Rabbit mAb
反应种属:
HumanMouseRat
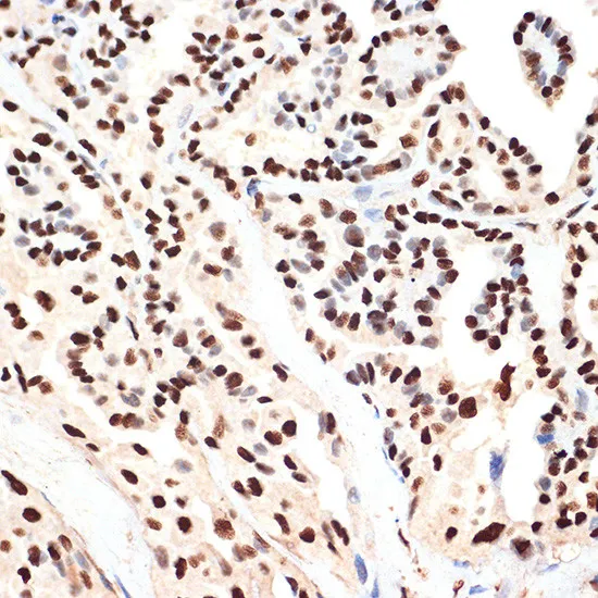
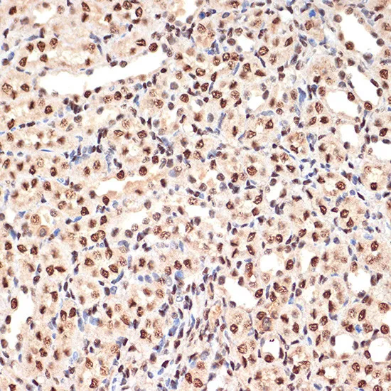
应用:
FCICC/IFIHCWB
¥ 1280
/ 50μl
库存充足
50μl100μl
产品详情
产品特性
反应种属
HumanMouseRat
应用
FCICC/IFIHCWB
纯化方式
Affinity Purification
实际分子量
29 kDa
免疫源
A synthetic peptide of human PHAPI2
来源
Rabbit
克隆性
Monoclonal
Background
Multifunctional protein working as a cell cycle progression factor as well as a cell survival factor. Required for the progression from the G1 to the S phase. Anti-apoptotic protein which functions as a caspase-3 inhibitor. Has no phosphatase 2A (PP2A) inhibitor activity (By similarity). Exhibits histone chaperone properties, stimulating core histones to assemble into a nucleosome.
预测分子量
29 kDa
GeneID
10541
Uniprot
Q92688
Isotype
IgG
标记类型
Un-conjugated
产品别名
APRIL; SSP29; PHAPI2
货号: RMA01969
PHAPI2 Recombinant Rabbit mAb
反应种属:
HumanMouseRat
应用:
FCICC/IFIHCWB
¥ 1280
/ 50μl
库存充足
50μl100μl
产品详情
产品特性
反应种属
HumanMouseRat
应用
FCICC/IFIHCWB
纯化方式
Affinity Purification
实际分子量
29 kDa
免疫源
A synthetic peptide of human PHAPI2
来源
Rabbit
克隆性
Monoclonal
Background
Multifunctional protein working as a cell cycle progression factor as well as a cell survival factor. Required for the progression from the G1 to the S phase. Anti-apoptotic protein which functions as a caspase-3 inhibitor. Has no phosphatase 2A (PP2A) inhibitor activity (By similarity). Exhibits histone chaperone properties, stimulating core histones to assemble into a nucleosome.
预测分子量
29 kDa
GeneID
10541
Uniprot
Q92688
Isotype
IgG
标记类型
Un-conjugated
产品别名
APRIL; SSP29; PHAPI2
微信咨询

扫码添加微信客服

msg在线留言