中文 | English
English
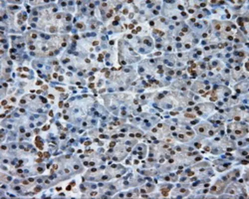
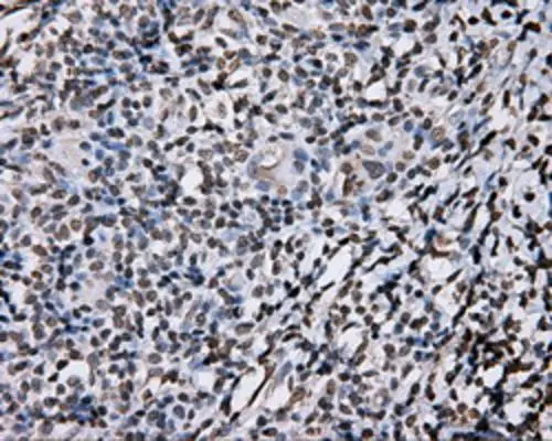
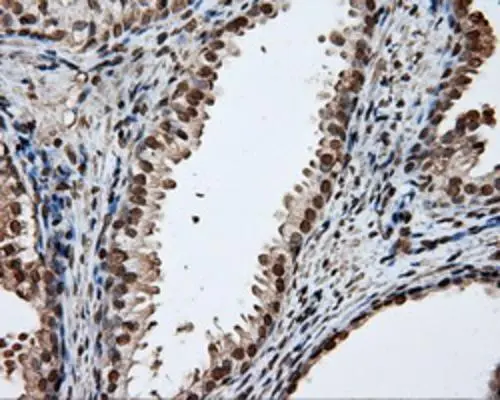
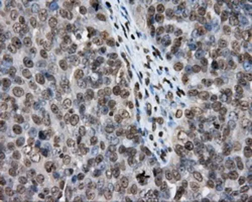
DAPK2 (DAP Kinase 2 ) mouse monoclonal antibody, clone OTI1C5 (formerly 1C5)
货号: GAM612210
DAPK2 (DAP Kinase 2 ) mouse monoclonal antibody, clone OTI1C5 (formerly 1C5)
反应种属:
DogHumanMonkeyMouseRat
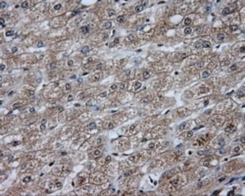
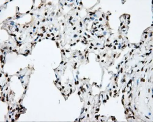
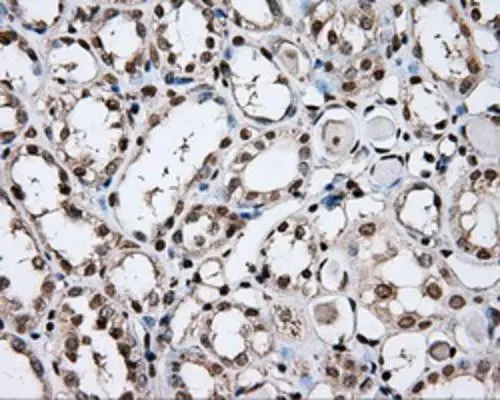
应用:
FCIFIHCIPWB
¥ 960
/ 50μl
库存充足
50μl100μl
产品详情
推荐稀释比
产品特性
反应种属
DogHumanMonkeyMouseRat
应用
FCIFIHCIPWB
纯化方式
Affinity Purification
克隆号
OTI1C5
免疫源
Full length human recombinant protein of human DAPK2 (NP_055141) produced in HEK293T cell.
来源
Mouse
克隆性
Monoclonal
Background
This gene encodes a protein that belongs to the serine/threonine protein kinase family. This protein contains a N-terminal protein kinase domain followed by a conserved calmodulin-binding domain with significant similarity to that of death-associated protein kinase 1 (DAPK1), a positive regulator of programmed cell death. Overexpression of this gene was shown to induce cell apoptosis. It uses multiple polyadenylation sites. [provided by RefSeq]
预测分子量
42.7 kDa
Uniprot
Q9UIK4
Isotype
IgG3
产品别名
DAP Kinase 2
货号: GAM612210
DAPK2 (DAP Kinase 2 ) mouse monoclonal antibody, clone OTI1C5 (formerly 1C5)
反应种属:
DogHumanMonkeyMouseRat
应用:
FCIFIHCIPWB
¥ 960
/ 50μl
库存充足
50μl100μl
产品详情
推荐稀释比
产品特性
反应种属
DogHumanMonkeyMouseRat
应用
FCIFIHCIPWB
纯化方式
Affinity Purification
克隆号
OTI1C5
免疫源
Full length human recombinant protein of human DAPK2 (NP_055141) produced in HEK293T cell.
来源
Mouse
克隆性
Monoclonal
Background
This gene encodes a protein that belongs to the serine/threonine protein kinase family. This protein contains a N-terminal protein kinase domain followed by a conserved calmodulin-binding domain with significant similarity to that of death-associated protein kinase 1 (DAPK1), a positive regulator of programmed cell death. Overexpression of this gene was shown to induce cell apoptosis. It uses multiple polyadenylation sites. [provided by RefSeq]
预测分子量
42.7 kDa
Uniprot
Q9UIK4
Isotype
IgG3
产品别名
DAP Kinase 2
微信咨询

扫码添加微信客服

msg在线留言