中文 | English
English
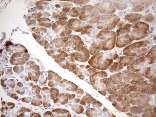
KCTD9 mouse monoclonal antibody, clone OTI1B9 (formerly 1B9)
货号: GAM918850
KCTD9 mouse monoclonal antibody, clone OTI1B9 (formerly 1B9)
反应种属:
HumanMouseRat
应用:
IHCWB
¥ 960
/ 50μl
库存充足
50μl100μl
产品详情
推荐稀释比
产品特性
反应种属
HumanMouseRat
应用
IHCWB
纯化方式
Affinity Purification
克隆号
OTI1B9
免疫源
Human recombinant protein fragment corresponding to amino acids 1-223 of human KCTD9(NP_060104) produced in E.coli.
来源
Mouse
克隆性
Monoclonal
预测分子量
42.4 kDa
Uniprot
Q7L273
Isotype
IgG2a
产品别名
KCTD9
货号: GAM918850
KCTD9 mouse monoclonal antibody, clone OTI1B9 (formerly 1B9)
反应种属:
HumanMouseRat
应用:
IHCWB
¥ 960
/ 50μl
库存充足
50μl100μl
产品详情
推荐稀释比
产品特性
反应种属
HumanMouseRat
应用
IHCWB
纯化方式
Affinity Purification
克隆号
OTI1B9
免疫源
Human recombinant protein fragment corresponding to amino acids 1-223 of human KCTD9(NP_060104) produced in E.coli.
来源
Mouse
克隆性
Monoclonal
预测分子量
42.4 kDa
Uniprot
Q7L273
Isotype
IgG2a
产品别名
KCTD9
微信咨询

扫码添加微信客服

msg在线留言